星空网络外围官网

黑眼圈很严重是身体哪里出问题了?这四个原因可能是严重疾病征兆

发布时间:2022-03-31 11:00
标签: 黑眼圈
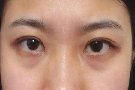
对于经常熬夜的人会发现,每天早上起床后,眼睛周围都会出现两个明显的黑眼圈,很多人也会把这种现象称为“熊猫眼”。...

   对于经常熬夜的人会发现,每天早上起床后,眼睛周围都会出现两个明显的黑眼圈,很多人也会把这种现象称为“熊猫眼”。尤其是经常熬夜的人,这种“熊猫眼”现象会特别明显。这种情况不仅会影响人的外在形象,长期的熊猫眼,可能就是某些疾病的表现。虽然在大多数人看来,黑眼圈往往与睡眠不足有关,但长期黑眼圈严重,除了是睡眠不足造成的。那么黑眼圈很严重是身体哪里出问题了?

黑眼圈很严重是身体哪里出问题了?这四个原因可能是严重疾病征兆

  1、慢性肝病

   长期黑眼圈严重。除了是睡眠不足引起的,也可能是慢性肝病的症状。一般来说,如果人体肝脏受到严重损伤,会导致部分肝功能下降,容易出现肝气郁结、呼吸不畅或肝脏血液循环不畅等症状。但如果肝脏的血液循环受阻,全身的血液循环也会受到影响。当眼周组织得不到充足的血液和氧气供应时,就会有大量的黑色素聚集沉淀在眼周,从而形成黑眼圈现象。所以,对于一些经常熬夜的人来说,如果长期黑眼圈严重,就需要警惕一些慢性肝病了。

黑眼圈很严重是身体哪里出问题了?这四个原因可能是严重疾病征兆

  2、慢性胃病

   很多人可能会想慢性胃病出现黑眼圈的症状主要是因为,对于一些慢性胃病患者来说,长期消化不良或其他消化功能障碍引起的身体不适导致睡眠质量下降,不仅会使患者的心理健康状况变差,还会使大量黑色素容易沉淀在眼周,从而造成黑眼圈的现象。所以对于黑眼圈严重的人,不妨检查一下自己是否有消化系统疾病。

黑眼圈很严重是身体哪里出问题了?这四个原因可能是严重疾病征兆

  3、肾脏疾病

   近有50%的肾病患者在前期都会出现眼圈发黑,两眼无神的症状。这主要是由于,对于慢性肾病患者而言,由于肾脏受损,肾气不足,导致眼睛部位的组织容易缺少精气的滋润,从而使得大量的黑色素容易沉淀在眼部组织周围,这时患者就会出现黑眼圈严重、眼袋较深等症状。所以,对于长期黑眼圈比较严重的人来说,还需警惕肾脏类疾病。

  4、心脏疾病

   长期性黑眼圈严重,或许还是心脏疾病的表现特征。一般来说,若是患者长期性黑眼圈比较严重,且怎么都无法消除,并伴随有呼吸困难,或是心脏区域疼痛等多种症状的话,那就需要提高警惕了,这或许是身体患有心脏疾病的表现。因此在平时得了黑眼圈之后,如果通过一段时间休息之后还没有恢复,需要去医院进行进一步的检查。

发表评论
请自觉遵守互联网相关的政策法规,严禁发布色情、暴力、反动的言论。
评价:
用户名: 验证码:点击我更换图片
免责声明:本文仅代表作者个人观点,与妈妈宝宝网无关。其原创性以及文中陈述文字和内容未经本站证实,对本文以及其中全部或者部分内容、文字的真实性、完整性、及时性本站不作任何保证或承诺,请读者仅作参考,并请自行核实相关内容。
  • 黑眼圈
  • 黑眼圈是怎么回事?这五个因素导致对症解决改善
    黑眼圈是怎么回事?这五个因素导致对症解决改善
  • 如何消除黑眼圈?这五个方法教你摆脱熊猫眼
    如何消除黑眼圈?这五个方法教你摆脱熊猫眼
  • 黑眼圈很严重是身体哪里出问题了?这四个原因可能是严重疾病征兆
    黑眼圈很严重是身体哪里出问题了?这四个原因可能是严重疾病征兆
  • 黑眼圈怎么去除?(这五个黑眼圈消除法靠谱)
    黑眼圈怎么去除?(这五个黑眼圈消除法靠谱)
  • 黑眼圈是什么原因?这五个原因及时改善
    黑眼圈是什么原因?这五个原因及时改善
  • 黑眼圈很严重是身体哪里出问题了?这四个疾病也会导致黑眼圈
    黑眼圈很严重是身体哪里出问题了?这四个疾病也会导致黑眼圈
 靠谱盛凯国际(官方)网站/网页版登录入口/手机版登录入口-最新版(已更新) 188BET最新真人排名(官方)网站/网页版登录入口/手机版登录入口-最新版(已更新) 永利外围靠谱导航(官方)网站/网页版登录入口/手机版登录入口-最新版(已更新) PM娱乐城正规最大推荐(官方)网站/网页版登录入口/手机版登录入口-最新版(已更新) 雷火竞技真人滚球官方(官方)网站/网页版登录入口/手机版登录入口-最新版(已更新) 最大雷火竞技体育(官方)网站/网页版登录入口/手机版登录入口-最新版(已更新) 188BET正规足球(官方)网站/网页版登录入口/手机版登录入口-最新版(已更新) 盛凯国际最新现金(官方)网站/网页版登录入口/手机版登录入口-最新版(已更新)